Category: Medical
Cobblestone Throat
Cobblestone Throat What is cobblestone throat? Doctors use the term “cobblestone throat” to describe irritation of the throat that causes…
Vegan Protein
The Best Protein Sources For Vegans and Vegetarians One concern with vegan and vegetarian diets is the lack of sufficient…
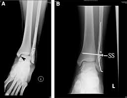
Syndesmosis
All about the Syndesmosis Ligament and Syndesmosis Injuries The syndesmosis ligament in the ankle supports you every time you stand…
Teethers for Babies
The Best Baby Teeth of 2022 Teething can be a difficult stage for both parents and babies. Cutting a tooth…
Composite Veneers
All You Need to Know about Composite Veneers What is a composite veneer? Dental veneers may be the right choice if…
How to Cleanse Crystals
A Beginner’s Guide To Clearing, Cleaning and Charging Crystals Why is cleansing important? Although crystal healing is popular, there is…
Puffy Nipples
How to get rid of puffy nipples with and without surgery It’s quite common for men to have puffy nipples.…
Large Nipples
What Causes Large Areolas? Is this normal? Your areolas have a special character. Look around if you are looking for…
Fibrinogen
Fibrinogen Activity Testing A fibrinogen activity test is also known as Factor I Activity. This test is used to determine your blood…
